Dr Alex Nikolaou

SINGLE TOOTH IMPLANTS

Replace a missing tooth with a natural-looking dental implant.

A single dental implant replaces both the root and the crown of a missing tooth, restoring your smile without affecting neighbouring teeth.

Manchester & Chester clinics Specialist implant care Long-term stability
Single tooth dental implant

HOW IT WORKS

What is a single tooth implant?

A dental implant replaces the missing tooth root and supports a custom crown, creating a strong and natural-looking replacement.

Dental implant structure

Implant

A small titanium post placed into the jawbone that replaces the natural tooth root.

Abutment

A connector piece that attaches the implant to the final crown.

Custom Crown

A natural-looking ceramic crown designed to match your surrounding teeth.

WHY CHOOSE AN IMPLANT

A long-term solution for a missing tooth

Unlike traditional bridges, implants replace the tooth root and preserve the surrounding teeth.

Preserves healthy teeth

Adjacent teeth do not need to be filed down, unlike traditional bridges.

Natural appearance

The final crown is designed to match the colour and shape of your natural teeth.

Stable bite

Implants integrate with the jawbone to provide strong and stable chewing function.

Long-term solution

With proper care, dental implants can last for many years.

THE PROCESS

A clear, staged plan — explained before treatment begins.

Every case is different. After assessment, we confirm your plan and fees in writing before any decision is made.

01

Consultation & scan

Clinical assessment and imaging where appropriate (e.g. scan) to plan safely and precisely.

Outcome: written plan
02

Implant placement

The implant is placed into the jawbone using a controlled, evidence-based surgical protocol.

Comfort-first approach
03

Healing phase

The implant integrates with the bone. We guide you through aftercare and review as needed.

Stability first
04

Final crown

A custom ceramic crown is fitted and adjusted for a natural bite, shape and shade.

Natural aesthetics
Typical timeframe: varies by case. We’ll confirm realistic timing after assessment.

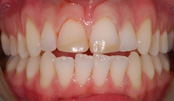
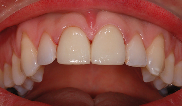
REAL OUTCOME

A subtle change — a big confidence shift.

Before and after images from a single-tooth restoration case. Individual results vary.

After single tooth implant
Before single tooth implant
CBCT-guided planning where appropriate Natural shade matching Protects adjacent healthy teeth
Book a consultation

NEXT STEP

Let’s confirm what’s possible — calmly and clearly.

We’ll assess suitability, explain options, and provide a written plan with transparent fees before treatment begins.

Manchester & Chester clinics Specialist-led care Written plan first
Book consultation Call 0161 327 3277

Prefer email? Use the enquiry form and we’ll respond within 1 working day.