Dr Alex Nikolaou

ALL-ON-4 IMPLANTS

Replace a full set of missing teeth with fixed implant-supported teeth.

All-on-4 treatment uses four carefully placed dental implants to support a full arch of natural-looking teeth. It provides a stable, long-term solution for patients who have lost most or all of their teeth and want a fixed alternative to removable dentures.

Manchester & Chester clinics Specialist implant treatment Fixed full-arch teeth solution
All-on-4 dental implants supporting a full arch of fixed teeth

HOW IT WORKS

What is an All-on-4 treatment?

All-on-4 uses four carefully positioned dental implants to support a full arch of fixed teeth. This approach allows multiple missing teeth to be replaced with a stable, natural-looking restoration that does not rely on removable dentures.

All-on-4 dental implants supporting a full arch of teeth

Four implants

Four dental implants are placed strategically in the jawbone to provide strong and stable support for a full arch of replacement teeth.

Fixed bridge

A custom-made bridge of teeth is securely attached to the implants, creating a fixed alternative to removable dentures.

Natural function

The final restoration is designed to restore your bite, appearance and confidence, allowing you to eat, speak and smile comfortably.

WHY CHOOSE ALL-ON-4

A fixed solution for replacing a full set of missing teeth

All-on-4 treatment replaces an entire arch of missing teeth using four implants, providing a stable and natural-looking alternative to removable dentures.

Fixed teeth

Unlike dentures, the replacement teeth are securely attached to implants and do not move when eating or speaking.

Natural appearance

The full arch bridge is custom designed to restore the shape of your smile and facial support.

Improved comfort

Implant-supported teeth allow you to chew and speak comfortably without the irritation often associated with removable dentures.

Long-term stability

The implants integrate with the jawbone to provide strong support for a long-lasting full-arch restoration.

THE PROCESS

A clear, staged plan — explained before treatment begins.

Every All-on-4 case is carefully planned. After assessment, we confirm your treatment plan and fees in writing before any decision is made.

01

Consultation & scan

Clinical assessment and imaging where appropriate (e.g. CBCT scan) to evaluate bone support and plan implant placement safely.

Outcome: written plan
02

Implant placement

Four dental implants are placed strategically in the jawbone to support a full arch of replacement teeth.

Precision surgery
03

Healing phase

The implants integrate with the bone to create a stable foundation for the final restoration.

Osseointegration
04

Final full-arch bridge

A custom-designed full arch of teeth is attached to the implants, restoring your smile and chewing function.

Fixed teeth
Typical timeframe: varies by case. We confirm realistic timing after your consultation and assessment.

REAL OUTCOME

Fixed teeth — restored bite, support and confidence.

Before and after images from an All-on-4 full-arch case. Individual results vary.

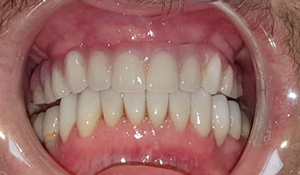
After All-on-4 treatment (fixed full-arch teeth)
Before All-on-4 treatment (missing teeth / tooth loss)
CBCT planning where appropriate Improved facial support & stable bite Fixed full-arch teeth (no movement)
Book a consultation

NEXT STEP

Explore whether All-on-4 treatment is right for you.

During your consultation we assess bone support, discuss your options and provide a written treatment plan with clear fees before any decision is made.

Manchester & Chester clinics Specialist implant treatment Fixed full-arch teeth solution
Book consultation Call 0161 327 3277

Prefer email? Use the enquiry form and we’ll respond within 1 working day.