Dr Alex Nikolaou

IMPLANT BRIDGES

Replace multiple missing teeth with a stable implant bridge.

Implant bridges allow us to replace several missing teeth using a small number of dental implants, restoring strength, comfort and a natural-looking smile without relying on neighbouring teeth.

Manchester & Chester clinics Specialist implant treatment Restore several missing teeth
Implant supported bridge replacing multiple missing teeth

HOW IT WORKS

What is an implant bridge?

An implant bridge replaces several missing teeth using a small number of implants as secure supports, creating a stable, natural-looking result without relying on neighbouring teeth.

Implant bridge structure showing implants supporting a bridge

Implants (supports)

Titanium posts placed into the jawbone that act as stable anchors for the bridge.

Bridge (replacement teeth)

A custom-made bridge that replaces the missing teeth as one connected unit.

Fit & bite design

The bridge is shaped to match your smile and bite, helping you chew comfortably and speak clearly.

WHY CHOOSE AN IMPLANT BRIDGE

A stable solution for replacing multiple missing teeth

Implant bridges restore several missing teeth using fewer implants, providing strong support without affecting neighbouring teeth.

Protects surrounding teeth

Unlike traditional bridges, implant bridges do not require healthy neighbouring teeth to be filed down.

Natural appearance

The custom bridge is designed to match the shape and colour of your natural teeth for a seamless smile.

Strong and stable bite

Implants anchor the bridge securely, restoring comfortable and confident chewing function.

Long-term durability

Implant bridges are designed for long-term stability when maintained with proper oral care and regular check-ups.

THE PROCESS

A clear, staged plan — explained before treatment begins.

Every implant bridge case is carefully planned. After assessment, we confirm your treatment plan and fees in writing before any decision is made.

01

Consultation & scan

Clinical assessment and imaging where appropriate (e.g. CBCT scan) to evaluate bone support and plan implant positions safely.

Outcome: written plan
02

Implant placement

Two or more implants are placed into the jawbone to act as stable supports for the bridge.

Precision surgery
03

Healing phase

The implants integrate with the bone during the healing period, creating a stable foundation.

Osseointegration
04

Final implant bridge

A custom-designed bridge is fitted to restore several missing teeth with a natural appearance and stable bite.

Natural function
Typical timeframe: varies by case. We confirm realistic timing after your consultation and assessment.

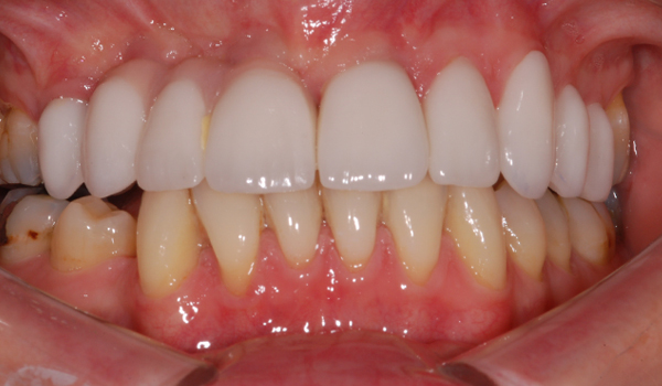
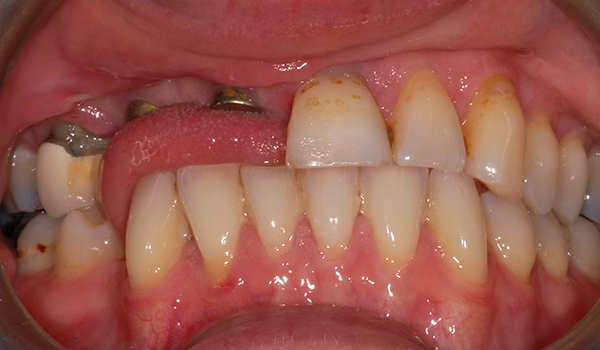
REAL OUTCOME

A natural result — restored function and confidence.

Before and after images from an implant bridge case. Individual results vary.

After implant bridge treatment replacing multiple missing teeth
Before implant bridge treatment showing missing teeth
Digital planning & imaging where appropriate Natural shade and bite balance No filing of healthy neighbouring teeth
Book a consultation

NEXT STEP

Let’s confirm what’s possible — calmly and clearly.

We’ll assess suitability, explain options, and provide a written plan with transparent fees before treatment begins.

Manchester & Chester clinics Specialist-led care Written plan first
Book consultation Call 0161 327 3277

Prefer email? Use the enquiry form and we’ll respond within 1 working day.

Always Enabled