Dr Alex Nikolaou

Dr Alex Nikolaou Specialist Implant Dentist · MSc Implantology

Restore your smile with specialist implant care designed for long-term stability and confidence.

Book Your Implant Consultation Call 0161 327 3277
✓ Specialist-led care ✓ Trusted across North West ✓ Flexible finance options
15+
Years
Clinical experience
MSc
Implantology
Postgraduate training
2
Locations
Manchester & Chester
5★
Google rating
Verified patient reviews
Dental implant consultation

Find Out If Dental Implants Are Right for You

A quick way to check if implant treatment could be the right next step.

  • Missing a tooth and worried about long-term stability
  • Struggling with loose or uncomfortable dentures
  • Avoiding certain foods or hiding your smile
  • Considering a full-arch solution and want clarity on options
See If Implants Are Right For You
No-obligation consultation • Clear options • Transparent guidance
Proof

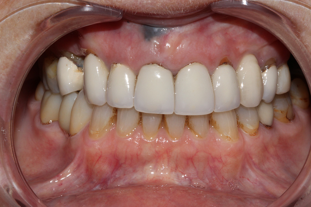
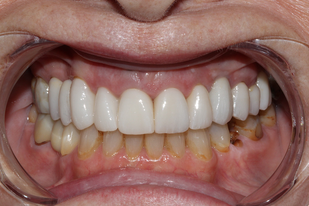
A complete smile transformation, shown naturally

From worn old crowns, asymmetry and missing teeth to a stable natural looking smile with layered Zirconia tooth crowns, full contour Zirconia tooth crowns and implant-supported Zirconia crowns

Drag to compare
After complete smile transformation portrait
After complete smile transformation close-up
Before complete smile transformation close-up
Before
After
Full smile rehabilitation Fixed crowns / bridgework

Natural-looking fixed teeth, designed for confidence and comfort

This case involved a complete upper smile restoration to improve support, symmetry and overall harmony — while keeping the final result natural and age-appropriate.

  • Complete restoration of the upper smile
  • Improved bite support and stability
  • Natural tooth shape, proportion and shade
Explore More Smile Transformations
About Dr Alex

Meet your specialist in dental implantology

Dr Alex Nikolaou

DDS (Thessaloniki) · MSc Dental Implantology (Manchester)

Every implant treatment is carefully designed around your comfort, long-term stability and natural aesthetics. From single tooth replacements to full arch rehabilitation, your care is delivered with precision and a calm, specialist-led approach.

✔ Specialist-led care
✔ 15+ years experience
✔ 2 clinic locations
✔ Sedation options available
Dr Alex Nikolaou
Fees & Finance

Clear fees. Calm decisions.

Transparent ranges and finance options, so you can plan with confidence before you commit.

Transparent starting points
Implant treatments from £2,750
✔ 0% finance available ✔ Clear ranges, not surprises

Final fees depend on your clinical needs and the plan we design together. You’ll always receive a clear breakdown before any treatment begins.

What’s included
  • Full implant consultation & assessment
  • Personalised treatment plan with options
  • Aftercare guidance & follow-up checks
  • Finance options explained clearly
✓ No obligation to proceed after consultation
✓ You receive a written plan before treatment
Implant Consultation

Ready to restore your smile?

Book a calm, specialist-led consultation. You’ll receive a clear treatment plan and transparent fees before making any decision.

✓ No obligation    ✓ Clear pricing    ✓ 0% finance available
Book Implant Consultation Call 0161 327 3277

Professional Affiliations & Implant Systems

Trusted memberships and implant partners

gdc logo
bda logo
adi logo
iti logo
teethxpress logo
biohorizons logo
straumann logo